U máu trong gan là những khối u lành tính của gan bao gồm các cụm khoang chứa đầy máu, được lót bởi các tế bào nội mô, từ động mạch gan nuôi dưỡng. Phần lớn các u máu trong gan không có triệu chứng và hầu hết thường được phát hiện tình cờ trong quá trình khảo sát hình ảnh cho các bệnh lý khác, như bằng siêu âm gan.
1. U máu trong gan là gì?
U máu trong gan là khối u gan lành tính phổ biến nhất. Đây là một cấu trúc bao gồm các khoang chứa đầy máu được nuôi dưỡng bởi tuần hoàn động mạch gan, với thành được lót bởi một lớp tế bào nội mô. Các mạch máu được xếp thành cuộn trong một vùng nhỏ khoảng vài mm và lớn có thể lên đến 10 cm, 20 cm và thậm chí 40 cm.
Tỷ lệ mắc phải trong dân số nói chung rất khác nhau, hầu hết thường được phát hiện tình cờ như khám định kỳ trong quá trình khảo sát hình ảnh cho các bệnh gan không liên quan hay các bệnh lý khác nhau trong ổ bụng.
Dù phần lớn các trường hợp có u máu trong gan không gây ra triệu chứng, nếu u có kích thước lớn vẫn có thể gây ra các biểu hiện, ảnh hưởng nhất định, bao gồm đau bụng trên hay cảm giác nặng, đầy bụng (trường hợp này thường xảy ra đối với các tổn thương lớn, gây ra sự căng phồng của bao Glisson). Lúc này, các chẩn đoán bằng kỹ thuật y tế về mặt hình ảnh học là cần thiết nhằm đánh giá các đặc điểm u máu trong gan và trên hết là nhằm xem xét chỉ định can thiệp.
Các công cụ để chẩn đoán u máu trong gan được trình bày dưới đây.
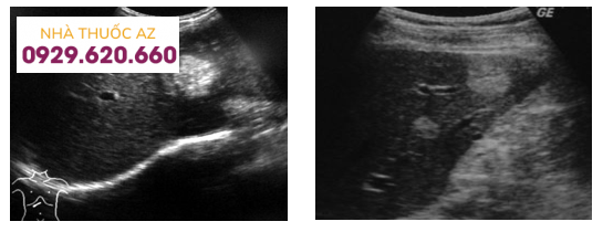
1.1 Siêu âm gan thông thường
Do tính sẵn có rộng rãi, không có nguy cơ nhiễm xạ, siêu âm thường là bước chẩn đoán đầu tiên đối với các u máu trong gan. Hạn chế chính của siêu âm gan là sẽ phụ thuộc vào người thực hiện và bệnh nhân.
Trên siêu âm thông thường, xuất hiện như một nốt đồng âm giảm phản âm, với bờ rõ ràng và tăng cường âm thanh phía sau. Hơn nữa, trong các lần kiểm tra tiếp theo hoặc trong khi so sánh hình chụp hiện tại với những lần trước, u máu trong gan thường không thay đổi về kích thước.
Bên cạnh đó, siêu âm gan còn có độ chính xác tốt trong việc phân biệt với các khối tăng phản xạ ác tính (độ nhạy 94,1% và độ đặc hiệu 80,0% đối với tổn thương đường kính dưới 3 cm). Sự vắng mặt của dòng máu tổn thương trong u máu trong gan trên siêu âm gan cũng là một dấu hiệu đáng tin cậy để chẩn đoán phân biệt với ung thư biểu mô tế bào gan, thường có mạch máu bên trong hoặc phúc mạc.
Một chẩn đoán phân biệt khác cần được xem xét trên siêu âm gan là tăng sản nốt khu trú, có đặc điểm là “dấu hiệu hình bánh xe”. Ngoài ra, cần thận trọng khi đánh giá gan nhiễm mỡ, trong đó u máu điển hình có thể giảm âm so với nhu mô gan giảm âm mạnh.

Siêu âm gan thông thường giúp phát hiện u máu trong gan
1.2 Siêu âm gan tăng cường độ tương phản
Siêu âm gan tăng cường độ tương phản là một công cụ tốt để chẩn đoán cụ thể hơn so với siêu âm gan thông thường.
Công cụ này giúp xác định rõ hơn vi mạch bằng cách tạo ra hình ảnh tưới máu theo thời gian thực bên trong tổn thương tương tự như mô hình mạch máu được thấy trong chụp cắt lớp vi tính (CT scanner). Điều này đặc biệt hữu ích cho việc chẩn đoán phân biệt các nốt trong nhu mô gan, như có thể phân biệt chính xác u máu trong gan với u tuyến, ung thư biểu mô tế bào gan hay di căn.
Trong đó, điển hình cho thấy dấu hiệu tăng cường nốt ngoại vi trong pha động mạch với sự lấp đầy hướng tâm hoàn toàn (nhưng đôi khi không hoàn toàn) trong tĩnh mạch cửa và pha muộn. Mô hình tăng cường đặc tính này có độ nhạy 98% đối với u máu trong gan đã được chứng minh theo về mặt mô học. Bên cạnh sự xuất hiện điển hình này, cần lưu ý rằng hiếm khi có thể có sự tăng cường mạch máu ly tâm.
Siêu âm gan tăng cường độ tương phản có nhiều ưu điểm, những ưu điểm chính bao gồm khảo sát và trả kết quả theo thời gian thực, khả năng theo dõi đồng thời nhiều tổn thương, có thể lặp lại và không có chống chỉ định (như dị ứng iốt, suy gan, suy thận). Tuy vậy, độ chính xác của siêu âm gan tăng cường độ tương phản có thể bị giảm ở những bệnh nhân bị gan nhiễm mỡ hoặc tổn thương nằm sâu trong nhu mô gan.
1.3 Chụp cắt lớp vi tính gan
Hình ảnh xuất hiện của u máu trên chụp cắt lớp vi tính gan (CT scanner) là một tổn thương giảm đậm độ với phạm vi được xác định rõ ràng, sau khi tiêm thuốc cản quang cho hình ảnh tăng cường với sự lấp đầy đồng nhất hướng tâm.
Dù vậy, công cụ này cũng sẽ gặp hạn chế đối với các tổn thương rất nhỏ dưới 5mm, có thể khó xác định các đặc điểm liên quan. Bên cạnh đó, cũng như siêu âm gan tăng cường độ tương phản, nếu u máu trong gan không có dạng điển hình thì cũng có thể biểu hiện rất đa dạng trên CT. Ngoài ra, các hạn chế chính của CT là nguy cơ phơi nhiễm bức xạ và các biến chứng có thể mắc phải khi dùng thuốc cản quang (như dị ứng, bệnh thận do thuốc cản quang).
1.4 Chụp cộng hưởng từ gan
Chụp cộng hưởng từ (MRI) cho thấy u máu trong gan có sự xuất hiện điển hình là một tổn thương đồng nhất được phân định rõ ràng, giảm điểm trên ảnh trong thời kỳ T1 và T2.
Đồng thời, vì cả u máu hay u ác tính đều gây tăng âm trên hình ảnh T2W, sự phân biệt giữa hai tổn thương này được thực hiện bằng cách tăng thời gian dội âm: trong khi tín hiệu từ tổn thương ác tính có xu hướng giảm thì tín hiệu từ u máu trong gan lại tăng lên. Chính vì vậy, hình ảnh có trọng số khuếch tán cũng hữu ích trong việc phân biệt u máu trong gan với các tổn thương ác tính. Ngoài ra, chụp cộng hưởng từ gan với gadolinium có thể được sử dụng cho những bệnh nhân bị dị ứng với chất cản quang có iốt hoặc suy thận, những người chống chỉ định chụp CT.

Chụp cộng hưởng từ gan giúp xác định chính xác khối u máu trong gan
2. Xạ hình tế bào hồng cầu có gắn nhãn Technetium-99m
Xạ hình hồng cầu Tc-99m là phương pháp không xâm lấn, giúp chẩn đoán cụ thể nhất về u máu trong gan.
Đặc điểm chẩn đoán u máu trong gan trên hình ảnh hồng cầu đánh dấu Tc-99 là sự không phù hợp về tưới máu với bể máu: giảm tưới máu trên hình ảnh động sớm và tăng dần hoạt động trên hình ảnh bể máu theo thời gian. Tổn thương xuất hiện “lạnh” trong giai đoạn động sớm và cuối cùng tăng vào giai đoạn muộn, 1-2 giờ sau khi tiêm Tc-99m.
Độ nhạy của phương pháp xạ hình còn phụ thuộc nhiều vào kích thước của về u máu trong gan, đặc biệt là ở tổn thương có kích thước nhỏ, như chỉ có độ nhạy 17-20% để phát hiện các tổn thương có kích thước nhỏ hơn 1 cm, 65-80% đối với các tổn thương từ 1cm đến 2cm và hầu như 100% đối với u máu trong gan lớn hơn 2cm.
Để khắc phục hạn chế này, độ chuẩn xác của xạ hình hồng cầu Tc-99m sẽ đạt 100% nếu kết hợp với SPECT (chụp cắt lớp điện toán phát xạ đơn photon) trên toàn bộ u máu với mọi kích thước. Tuy vậy, dù có độ nhạy và độ đặc hiệu rất cao, xạ hình vẫn luôn được chỉ định theo sau bởi CT hoặc siêu âm bụng để xác định vị trí, hình dạng và tính đa dạng của tổn thương. Tính sẵn có hạn chế, chi phí cao và thời gian thực hiện lâu, đối diện nguy cơ chiếu xạ và đòi hỏi cần trang bị phương tiện, kỹ thuật cao làm giảm tính khả thi của xạ hình hồng cầu Tc-99m trong việc chẩn đoán u máu trong gan.
3. Các kỹ thuật y tế chẩn đoán u máu trong gan khác
Để chẩn đoán u máu trong gan, hiện nay một số kỹ thuật y tế được sử dụng như:
Chụp mạch máu: Chụp mạch gan chọn lọc hoặc siêu chọn lọc có độ đặc hiệu cao nhất đối với các tổn thương u máu trong gan. Tuy nhiên, đây không được sử dụng để chẩn đoán ban đầu cho các tổn thương do hạn chế về tính sẵn có cũng như tính xâm lấn.Lấy mẫu mô học bằng sinh thiết: Nếu với bản chất thực sự là u máu trong gan, thủ thuật lấy mẫu mô học bằng sinh thiết sẽ đối diện với nguy cơ xuất huyết rất lớn (đặc biệt là trong các tổn thương lớn, dưới bao), kể cả tử vong. Bên cạnh nguy cơ này, hiệu quả chẩn đoán cũng không thực sự cao như mong đợi.Kiểm tra mô học: Trên kính hiển vi nhuộm hematoxylin-eosin, u máu trong gan xuất hiện dưới dạng các kênh mạch giãn chứa máu được lót bởi một lớp tế bào nội mô. Các biến chứng của tổn thương dạng u máu bao gồm hoại tử, tạo huyết khối, xơ cứng hoặc vôi hóa. Không có sự biến đổi ác tính nào được báo cáo trong các trường hợp tổn thương là u máu.
Tóm lại, trong khi hầu hết những bệnh nhân hoàn toàn không có dấu hiệu hoặc triệu chứng gì, có một số ít các trường hợp lại tăng thể tích nhanh chóng hoặc có biến chứng, cần điều trị thích hợp. Lúc này, các công cụ kỹ thuật hình ảnh sẽ giúp theo dõi và hỗ trợ đưa ra cách thức điều trị thích hợp, phòng tránh nguy cơ gặp phải các biến chứng nghiêm trọng cũng như cần chẩn đoán cẩn thận để phân biệt với các tổn thương khu trú trong bệnh gan khác.
Bên cạnh đó, bệnh viện cũng cung cấp Gói tầm soát và phát hiện sớm ung thư gan để từ đó có phương án điều trị thích hợp, hiệu quả cho bệnh nhân. Những khách hàng có nguy cơ cao mắc ung thư gan như: tiền sử gia đình bị bệnh ung thư gan, xơ gan do virus hoặc rượu, bị viêm gan B, viêm gan C mãn tính, nghiện rượu hoặc uống rượu thường xuyên,… nên đi tầm soát ung thư gan định kỳ.
Để biết thêm các thông tin chi tiết, vui lòng liên hệ với Nhà thuốc AZ theo số hotline 0929 620 660 hoặc truy cập vào website: https://nhathuocaz.com.vn