Thực quản đôi là một dị dạng bẩm sinh hiếm gặp của thực quản, đứng hàng thứ hai trong các bệnh đường tiêu hóa đôi sau hồi tràng đôi và chiếm khoảng 15% trong các loại dị dạng bẩm sinh của thực quản. Bệnh được chia làm 2 type: thực quản đôi dạng nang là dạng thường gặp nhất (95%) và thực quản đôi dạng ống rất hiếm khi gặp.
1. Bệnh lý nang thực quản đôi
Đại đa số các trường hợp thực quản đôi được phát hiện ở thời kỳ bào thai nhờ siêu âm thai và trong những năm đầu sau khi sinh do những rối loạn mà nó gây ra rất hiếm khi gặp ở tuổi trưởng thành. Tùy vị trí, kích thước của thực quản đôi mà gây ra các triệu chứng khác nhau, thường gặp nhất là các rối loạn về tiêu hóa như: đau sau xương ức, nuốt nghẹn, nôn…hay các rối loạn về hô hấp, tuần hoàn như khó thở, loạn nhịp tim… Tuy nhiên cũng có trường hợp bệnh được chẩn đoán tình cờ. Một số xét nghiệm như chụp thực quản với thuốc cản quang barit, chụp cắt lớp vi tính thực quản hay siêu âm nội soi thực quản giúp chẩn đoán bệnh trước mổ, tuy nhiên để chẩn đoán xác định bệnh cần dựa vào xét nghiệm giải phẫu bệnh.

Hình 1: Hình ảnh minh họa nang thực quản đôi trong lồng ngực
2. Tổng quan về đường tiêu hóa đôi
Đường tiêu hóa đôi, hoặc nang đôi đường tiêu hóa, là một dị dạng bẩm sinh hiếm gặp của đường tiêu hóa. Căn nguyên của nang đôi đường tiêu hóa chưa được hiểu đầy đủ; tuy nhiên, một bất thường phát triển ban đầu trong giai đoạn phôi thai hình thành dạ dày được cho là nguyên nhân có thể xảy ra nhất. Dựa trên các báo cáo khám nghiệm tử thi, người ta ước tính rằng nang đôi đường tiêu hóa ảnh hưởng đến 1 trong mỗi 4.500 bệnh nhân. Nó chủ yếu xảy ra trong thời thơ ấu, có biểu hiện lâm sàng rất thay đổi, tùy thuộc vào vị trí và kích thước của nó. Các nghiên cứu hình ảnh thăm dò có thể giúp xác định u nang đôi trong một số trường hợp; tuy nhiên, những điều này không thể phân biệt bệnh lý của nó với túi thừa Meckel hoặc các bệnh giống u nang đường tiêu hóa khác. Vì vậy, chẩn đoán xác định nang đôi đường tiêu hóa vẫn là một thách thức đối với các bác sĩ lâm sàng.

Hình 2: Hình ảnh nang thực quản đôi ở bé trai 9 tuổi được biểu hiện trên nội soi
3. Đường tiêu hóa đôi có phổ biến?
Đường tiêu hóa đôi chủ yếu xảy ra ở hồi tràng của ruột non, chiếm trên 40% các trường hợp. U nang đôi thực quản hiếm hơn nhiều, chiếm 4% tổng số trường hợp và 10-15% tổng số u nang đôi đường tiêu hóa. Đường tiêu hóa nhân đôi (viết tắt là U nang đôi thực quản) ban đầu được đặc trưng bởi Blasius vào năm 1711 và trước đây được phân loại là một loại u nang thực quản, do sự nhân đôi của các phần dưới niêm mạc và cơ của thực quản. U nang đôi thực quản có thể thông thương với lòng thực quản. U nang đôi thực quản cũng là tổn thương trung thất sau lành tính phổ biến thứ hai ở trẻ em, sau u nang phế quản. Tỷ lệ mắc đường tiêu hóa đôi là 1 trên 8.200, với tỷ lệ nam gấp hai lần nữ . Trong khi U nang đôi thực quản chủ yếu xảy ra ở đoạn ngực, ngoài ra, nang thực quản đôi có thể xảy ra ở đoạn thực quản cổ và đoạn thực quản bụng.
4. Cơ chế hình thành bệnh lý đường tiêu hóa đôi
Các cơ chế gây bệnh của U nang đôi thực quản chưa được biết rõ; tuy nhiên, nó được cho là có liên quan đến sự phát triển bất thường của thực quản xảy ra vào tuần thứ năm đến tuần thứ tám của thai kỳ, khi phần trước nguyên thủy phía sau liên kết lại để tạo thành một ống thực quản duy nhất. Nang đôi thực quản tương đối phổ biến ở trẻ em có khối trung thất, chiếm 30% tổng số khối trung thất ở trẻ em.
5. Nang thực quản đôi được cấu tạo như thế nào?
Esophageal duplication cysts – Nang đôi thực quản có thể chứa niêm mạc dạ dày lạc chỗ và các thành phần của tuyến tụy. Niêm mạc ống tiêu hóa ngoài thực quản được cho là kết quả của sự thay thế biểu mô cột trụ đơn bằng biểu mô vảy phân tầng trong quá trình hình thành phôi thực quản. Tình trạng này thường được phát hiện tình cờ bằng nội soi hoặc sinh thiết và biểu hiện ở đường vào niêm mạc dạ dày. Niêm mạc ống tiêu hóa lạc chỗ có thể làm phức tạp các triệu chứng của vốn rất khó phân biệt của đường tiêu hóa, đặc biệt là các triệu chứng liên quan đến hồi tràng, nhất là niêm mạc tiêu hóa lạc chỗ có thể gây nên các triệu chứng giống triệu chứng của túi thừa Mecke. Bệnh nhân có thể xuất hiện các triệu chứng xuất huyết tiêu hóa, tắc ruột, viêm túi thừa và bất thường ở rốn. Tuy nhiên, một số nghiên cứu trong y văn đã đề cập đến nang đôi thực quản với niêm mạc dạ dày lạc chỗ.

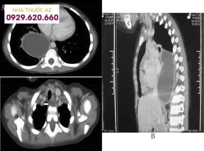
Hình 3: Hình ảnh chụp cắt lớp vi tính của một bệnh nhi nam, 3 tuổi, tiền sử khỏe mạnh, có biểu hiện sốt cấp tính từng cơn và ho khan, nhưng không khó nuốt, sốt (39,0 ° C). Chụp cắt lớp vi tính (Chụp cắt lớp vi tính) khi thăm khám ban đầu cho thấy một khối u trung thất lớn ở lồng ngực, có biến chứng viêm phổi. Việc tái tạo Chụp cắt lớp vi tính ba chiều đã cho thấy rằng hai khối u nang hình bầu dục nằm ở trung thất sau, có ranh giới rõ ràng và chứa đầy chất lỏng, nhưng không có bất kỳ mức dịch khí nào. U nang lớn hơn có kích thước 10 cm x 5,4 cm x 5,8 cm. Nó nằm ở phần giữa và phần dưới của thực quản trong khoang cạnh sống và kéo dài dọc theo rãnh đốt sống bên phải. U nang đẩy lệch khí quản phía trước, phế quản chính bên phải và thùy dưới bên phải phổi ở phía trước. U nang nhỏ hơn nằm giữa thành sau của thực quản cổ, với kích thước 1,0 cm × 0,8 cm. Chụp cắt lớp vi tính Scan cản quang không cho thấy bất kỳ sự tăng quang rõ ràng nào của cả hai u nang. Bệnh nhân được chẩn đoán bệnh nhân được chẩn đoán là nang thực quản có biến chứng viêm phế quản phổi.

Hình 4: Hình ảnh trong phẫu thuật của nang đôi thực quản kích thước lớn ở bệnh nhân nói trên. (A) Một khối nang nằm ở trung thất sau bên phải; và (B) Hình ảnh đại thể của nang được cắt bỏ có chứa dịch nang màu nâu. Một ống nội khí quản hai nòng được sử dụng để làm xẹp phổi bên phải, và phẫu thuật mở lồng ngực bên phải được thực hiện dọc theo khoang liên sườn thứ sáu. Một u nang 10 cm x 5,4 cm x 5,8 cm bắt nguồn từ thành bên phải của thực quản ở mức carina đã được xác định. Thành nang dày khoảng 0,3 cm và dính vừa phải với phần màng của phế quản chính bên phải và đoạn lưng của thùy dưới bên phải; tuy nhiên, nó không thông với thực quản hoặc cây phế quản phổi. U nang được chọc thủng và xẹp xuống bằng một cây kim cỡ 18. Khoảng 200 ml dịch màu nâu, nhớt, gợi ý xuất huyết nội tạng, đã được dẫn lưu.

Hình 5: Hình ảnh mô học của một ngang thực quản đôi được phẫu thuật cắt bỏ. Phân tích mô học của u nang thực quản đã được cắt bỏ cho thấy thành nang được cấu tạo bởi các sợi tăng sản và được lót bằng biểu mô vảy phân tầng, chứa biểu mô trụ đơn của niêm mạc dạ dày. Sau đó bệnh được chẩn đoán mô học là nang thực quản đôi với niêm mạc dạ dày lạc chỗ.
Để biết thêm các thông tin chi tiết, vui lòng liên hệ với Nhà thuốc AZ theo số hotline 0929 620 660 hoặc truy cập vào website: https://nhathuocaz.com.vn