Nguyên nhân, dấu hiệu và điều trị bệnh u máu thể hang

Bệnh lý dị dạng mạch máu là sự xuất hiện một tổ chức mạch máu hoặc tổn thương bất thường tạo ra nhiều khoang nhỏ (tiểu thùy) giống như hình tổ ong hoặc hình quả dâu.

1. U máu thể hang là gì?

U máu thể hang là sự xuất hiện những khoang nhỏ, trong những khoang nhỏ này chứa máu. Những khoang chứa máu này được ngăn cách với nhau bởi các màng mỏng và máu này là ở những giai đoạn khác nhau của sự thoái hóa các tế bào hồng cầu.

U máu thể hang (Cavernoma) không có đường vào là động mạch nuôi kích thước lớn và không có đường ra là tĩnh mạch thoát kích thước lớn giống như dị dạng động tĩnh mạch ở não (AVM:Arteriovenous malformation) mà thường có các mạch nhỏ xuyên qua các u máu thể hang.

Hầu hết u máu thể hang thường xuất hiện ở hai bán cầu đại não, đôi khi cũng có trường hợp xuất hiện ở vùng hố sau hoặc thân não, hiếm khi gặp ở vùng tủy sống.

u-mau-hang-mot-di-dang-mach-nao-1

U máu thể hang

2. Nguyên nhân mắc bệnh u máu thể hang

Cho tới hiện tại vẫn chưa có kết luận chính xác nguyên nhân gây mắc bệnh u máu thể hang. Hầu hết các trường hợp mắc bệnh đều xảy ra tự nhiên, tuy nhiên các nhà nghiên cứu tìm ra sự trùng hợp ngẫu nhiên cho thấy bệnh u máu thể hang có tính di truyền. Trong các trường hợp bệnh lý mang tính di truyền, người ta thấy có sự bất thường của nhiễm sắc thể số 7.

3. Biểu hiện mắc bệnh u máu thể hang

u-mau-hang-mot-di-dang-mach-nao-2

Bệnh u máu thể hang có thể xuất hiện các cơn động kinh

Tùy thuộc vào kích thước và vị trí xuất hiện của u máu thể hang mà người bệnh có các biểu hiện lâm sàng khác nhau, trong đó các triệu chứng nổi bật như:

Xuất hiện các cơn động kinh, các rối loạn thần kinh, cũng có trường hợp không có triệu chứng gì.Bị tăng áp lực nội sọ thể hiện qua nhức đầu, buồn nôn, bị nôn, rối loạn thị giác, buồn ngủ.Các quá trình xuất huyết trong các khoang máu được lặp đi lặp lại. Các khoang máu của u máu thể hang có thể ở các độ tuổi khác nhau của các sản phẩm máu. Theo số liệu nghiên cứu, nguy cơ xuất huyết của u máu thể hang là 0,5-1%/năm. Tỷ lệ tái xuất huyết thay đổi từ 4-10%/năm.Tùy theo kích thước và vị trí của u máu thể hang, mức độ và tính đa dạng của xuất huyết mà các biến chứng do u máu thể hang gây ra sẽ gây ra co giật và suy giảm chức năng thần kinh nặng hay nhẹ.

4. Điều trị u máu thể hang

u-mau-hang-mot-di-dang-mach-nao-3

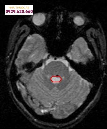
Chụp cộng hưởng từ sọ não chẩn đoán u máu thể hang

Để phát hiện u máu thể hang, khi khám, bác sĩ sẽ cho chỉ định chụp cộng hưởng từ sọ não, tùy từng bệnh nhân có thể tiêm thuốc hoặc không tiêm thuốc. Hiện tại, đây là phương pháp chẩn đoán u máu thể hang chính xác nhất bởi nếu chỉ định chụp mạch máu não sẽ không phát hiện được u máu thể hang.

Hiện nay, để điều trị u máu thể hang, có hai phương pháp chính là phẫu thuật và xạ phẫu sử dụng dao gamma kinh điển, dao gamma quay (rotating gamma knife), Cyberknife…

Có thể nói xạ phẫu bằng dao gamma quay có rất nhiều ưu việt, bởi vì nó có thể điều trị được u máu thể hang ở rất nhiều vị trí khác nhau trong não. Đây cũng là phương pháp ít xâm nhập, ít gây tai biến và biến chứng rủi ro ngoài ý muốn trong và sau điều trị u máu thể hang cho bệnh nhân

U máu thể hang là bệnh nguy hiểm, gây nhiều biến chứng đau đớn cho người bệnh, vì vậy cần được phẫu thuật để xử lý. Tuy nhiên với phương pháp xạ phẫu bằng dao gamma, tỷ lệ gây biến chứng trong và sau phẫu thuật giảm đi rất nhiều, vì vậy người bệnh có thể tin tưởng để điều trị.

Sau phẫu thuật, bệnh nhân cần nằm lại bệnh viện để được chăm sóc, theo dõi tình trạng sức khóa sau phẫu thuật. Cần thực hiện theo đúng chỉ dẫn của bác sĩ để sớm hồi phục, tránh xảy ra biến chứng, tai biến.

Để biết thêm các thông tin chi tiết, vui lòng liên hệ với Nhà thuốc AZ theo số hotline 0929 620 660 hoặc truy cập vào website: https://nhathuocaz.com.vn