Khối u ác tính di căn đến đường tiêu hóa (GI) đặt ra một thách thức lâm sàng duy nhất. Trước đây được cho là hiếm gặp, nhiều bệnh nhân mắc bệnh di căn khi khám nghiệm tử thi nhưng hiếm khi có các triệu chứng tiêu hoá.
1. Tổng quan về khối u ác tính di căn đến đường tiêu hóa
Trong thời đại của liệu pháp miễn dịch nhắm trúng đích có khả năng làm giảm nhanh chóng kích thước của các tổn thương chiếm không gian trong đường tiêu hóa, các báo cáo trường hợp thủng ruột đã xuất hiện như những biến chứng không lường trước được của điều trị. Trường hợp sau đây của một bệnh nhân được điều trị bằng liệu pháp miễn dịch cho khối u ác tính có di căn đường tiêu hóa đã biết nêu bật tầm quan trọng của việc đánh giá lâm sàng trước khi bắt đầu liệu pháp miễn dịch mạnh và bệnh nhân phân tầng nguy cơ do các biến chứng điều trị tiềm ẩn.
2. Trường hợp lâm sàng
Một người đàn ông 57 tuổi đến khám với phàn nàn về chứng đau bụng vùng thượng vị sau ăn trong tháng qua cũng như giảm cân không chủ ý khoảng 5kg. Tiền sử bệnh trong quá khứ của anh ta không có gì đáng kể. Khám sức khỏe của anh ấy cho thấy khám bụng bình thường, không có đau khi sờ hoặc sờ thấy khối. Các xét nghiệm ban đầu bao gồm : Transaminase aspartate (AST) là 56 (đơn vị / L), alanin transaminase (ALT) là 65 (đơn vị / L) và phosphatase kiềm là 192 (IU / L), với bilirubin bình thường, tỷ lệ INR bình thường và số lượng tiểu cầu bình thường. Anh ta đã được khám bởi một bác sĩ chuyên khoa tiêu hóa, và một cuộc nội soi trên và nội soi đại tràng đã được lên kế hoạch để đánh giá cơn đau bụng của anh ta. Trong lúc đó, siêu âm bụng cho thấy nhiều khối lớn trong khoang phúc mạc. Sau đó, chụp cắt lớp vi tính đối chiếu vùng bụng và khung chậu cho thấy vô số khối u gieo rắc trong khoang phúc mạc, mạc treo, sau phúc mạc và phúc mạc, mô tuyến tụy cũng như các tổn thương quanh và trong dạ dày. Tổn thương nguyên phát không thể xác định được.

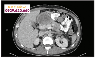
Chụp CT Scan bụng cho thấy phúc mạc của ổ bụng bị xâm lấn dọc theo vách sau dạ dày và một nốt 1,5 cm trên mặt sau của hang vị dạ dày.
Nội soi tiêu hoá trên cho thấy các tổn thương dạng khối thâm nhiễm kích thước trung bình ở thân dạ dày, cũng như nghi ngờ chèn ép từ bên ngoài vào lòng dạ dày; sinh thiết từng tổn thương. Nội soi đại tràng cho thấy một khối 1 cm thâm nhiễm, không gây tắc ở đại tràng ngang cũng như một tổn thương không loét ở van hồi tràng và có khả năng chèn ép bên ngoài manh tràng. Bệnh lý từ các tổn thương phù hợp với u hắc tố ác tính, kiểu hoang dã BRAF. Do đó, giai đoạn được báo cáo là TxNxM1c với di căn đến phổi, khoang phúc mạc, các hạch bạch huyết màng bụng và mạc treo ruột, tuyến tụy, đại tràng và dạ dày.

Hình ảnh nội soi dạ dày: tổn thương thâm nhiễm kích thước khoảng 1,5cm rải rác ở thân dạ dày.

Nội soi đại tràng cho thấy một khối 1 cm thâm nhiễm, không gây tắc ở đại tràng ngang
Bệnh nhân được bắt đầu điều trị kết hợp chất ức chế PD-1 (nivolumab) và chất ức chế CTLA-4 (ipilimumab). Bệnh và quá trình điều trị của anh ấy phức tạp do thuyên tắc phổi giai đoạn sau, viêm phổi do thuốc, tắc nghẽn một phần đại tràng do gánh nặng khối u, chảy máu tiêu hoá liên tục và sốc nhiễm trùng thứ phát do nguồn gốc giả định trong ổ bụng.
3. Triệu chứng của khối u ác tính di căn đến đường tiêu hóa
Hiện nay người ta đã công nhận rằng khối u ác tính thường di căn đến đường tiêu hóa, không thường xuyên gây ra các triệu chứng. Khi khám nghiệm tử thi 100 bệnh nhân bị u ác tính ở da không có các triệu chứng tiêu hoá, hơn một nửa có tổn thương di căn ở ruột non, và khoảng 1/4 có tổn thương ở dạ dày và ruột kết (đại tràng). Di căn đường tiêu hóa cho thấy tiên lượng xấu, thời gian sống thêm trung bình là 4-6 tháng. Đối với bệnh có triệu chứng, bao gồm lồng ruột và các triệu chứng tắc nghẽn, sự đồng thuận là can thiệp phẫu thuật được chỉ định để giảm nhẹ. Tuy nhiên, hiện tại không có khuyến cáo điều tra bệnh đường tiêu hóa ở bệnh nhân không có triệu chứng vì điều này thường không làm thay đổi việc quản lý lâm sàng.
4. Vai trò của liệu pháp nhắm trúng đích
Với sự phát triển của các liệu pháp nhắm mục tiêu hơn cho khối u ác tính, đặc biệt với liệu pháp sinh học bao gồm chất ức chế PD-1 hoặc CTLA4, các báo cáo trường hợp đã xuất hiện xác định thủng ruột là một biến chứng của phản ứng mạnh mẽ với các liệu pháp mạnh này. Trong thời đại của liệu pháp miễn dịch nhắm trúng đích, có thể các tổn thương không triệu chứng có thể gây ra các biến chứng điều trị không lường trước được. Liệu bệnh tiêu hoá có nên được điều tra hoặc loại trừ trước khi điều trị bằng các tác nhân mới này hay không vẫn còn được làm sáng tỏ. Có vẻ như cần thận trọng về mặt lâm sàng rằng những bệnh nhân này nên được kiểm tra cẩn thận về bất kỳ triệu chứng nào liên quan đến tiêu hoá trước khi bắt đầu liệu pháp miễn dịch để phân tầng nguy cơ đối với những biến cố này, có thể gây tàn phá nếu không hoàn toàn có thể ngăn ngừa được.
Tại Việt Nam, Bệnh viện Đa khoa Quốc tế Vinmec Times City là đơn vị áp dụng và thực hiện hóa mô miễn dịch với trang bị máy hiện đại để thực hiện kỹ thuật hóa mô miễn dịch thế hệ mới nhất- máy nhuộm hóa mô miễn dịch tự động Bench Mark XT, máy hiện đại, theo tiêu chuẩn của Tổ chức Y tế thế giới (WHO), nhằm chẩn đoán bệnh một cách nhanh chóng, chính xác, phục vụ cho tiên lượng và định hướng điều trị cho hầu hết các loại ung bướu. Bệnh viện còn có đầy đủ các dấu ấn miễn dịch và đặc biệt có đội ngũ bác sĩ giàu kinh nghiệm, kỹ thuật mang lại hiệu quả cao cho bệnh nhân.
Nếu có nhu cầu tư vấn và thăm khám tại các Bệnh viện Vinmec thuộc hệ thống Y tế trên toàn quốc, Quý khách vui lòng đặt lịch trên website để được phục vụ.
Để biết thêm các thông tin chi tiết, vui lòng liên hệ với Nhà thuốc AZ theo số hotline 0929 620 660 hoặc truy cập vào website: https://nhathuocaz.com.vn