Ung thư gan là căn bệnh nguy hiểm và nguyên nhân gây tử vong hàng đầu cho cả nam và nữ. Bệnh thường được phát hiện ở giai đoạn muộn nên việc điều trị gặp nhiều khó khăn và tiên lượng bệnh xấu. Chính vì vậy việc phát hiện sớm bệnh rất có ý nghĩa trong việc điều trị, theo dõi và tiên lượng bệnh.
1. Tổng quan về ung thư gan
Ung thư gan là tình trạng các tế bào gan phát triển một cách bất thường, gây ra những biến động về cấu trúc và chức năng gan. Các tế bào có khả năng xâm lấn và tế bào lành và các cơ quan lân cận. Ngoài ra, ung thư gan do các tế bào bất thường từ cơ quan khác di chuyển tới. Ung thư gan có hai loại bao gồm:
Ung thư gan nguyên phát: Để chỉ bệnh lý xảy ra khi các tế bào của gan trở nên bất thường, ảnh hưởng đến chức năng gan, có thể lan rộng sang các vùng khác của gan cũng như các cơ quan bên ngoài gan. Ung thư gan nguyên phát gồm có 3 loại chính là ung thư biểu mô tế bào gan (phát triển từ tế bào gan là loại phổ biến nhất), ung thư biểu mô đường mật (phát triển từ tế bào biểu mô đường mật trong gan) và u nguyên bào gan.Ung thư gan thứ phát là bệnh lý xuất hiện khối u ở gan, nhưng khối u này do các tế bào ung thư ở các bộ phận khác của cơ thể di chuyển tới gan. Có thể là khối u ở dạ dày, túi mật, đại tràng, tụy, vú, phổi…

Ung thư gan ảnh hưởng nghiêm trọng đến sức khỏe người bệnh
2. Nguyên nhân gây ung thư gan
Nguyên nhân chính xác gây ra ung thư gan hiện vẫn chưa được rõ ràng. Một số yếu tố có nguy cơ gây ra ung thư gan bao gồm:
Do tình trạng viêm gan virus: Viêm gan virus là tình trạng tế bào gan bị viêm nhiễm hoặc hoại tử cấp tính hay mạn tính do mắc phải virus, có 6 loại virus gây viêm gan nhưng người ta nhận thấy sự liên quan giữa viêm gan virus B và C với xơ gan và ung thư gan nguyên phát. Tại Việt Nam thấy có 60% ung thư tế bào gan có liên quan tới viêm gan B và 25% có liên quan đến viêm gan C.Xơ gan: Xơ gan là tình trạng gan bị tổn thương dẫn tới hình thành nhiều mô sẹo được gây ra bởi nhiều tác nhân gây bệnh. Ung thư gan thường gặp ở bệnh nhân xơ gan, trong đó đa số là xơ gan do rượu.Sử dụng các chất gây độc cho gan: Thường xuyên ăn phải nấm mốc Aflatoxin từ lạc, đỗ mốc. Các chất độc, nhất là chất độc màu da cam (dioxin), tetraclorua cacbon, các chất màu Azo hoặc nitrosamine gây ung thư gan trên thực nghiệm.Uống rượu, bia nhiều: Các chất độc từ rượu bia đa số được gan khử độc, nếu thường xuyên sử dụng rượu bia gây tới hủy hoại tế bào gan, dẫn tới xơ gan và ung thư gan.Chế độ ăn uống: Ăn thức ăn mốc, không đảm bảo vệ sinh, chế độ ăn ít đạm, nhiều mỡ, ít vitamin B1.

Xơ gan có thể dẫn đến ung thư gan
3. Dấu hiệu ung thư gan
Ở giai đoạn sớm thường các dấu hiệu bệnh ung thư gan không rõ ràng, bệnh nhân có thể biểu hiện các dấu hiệu như: Mệt mỏi, chán ăn, buồn nôn, nôn, nhanh no hay bị đầy hơi sau khi ăn, đau tức vùng mạn sườn phải…
Giai đoạn muộn hơn thấy các biểu hiện như:
Ăn uống kém, chán ăn, đầy chướng bụng, đi ngoài phân có thể có váng mỡ.Đau hạ sườn phải nhiều, ngày càng tăng.Người bệnh có thể tự sờ thấy khối ở vùng gan.Vàng da, niêm mạc và kết mạc mắt cũng bị vàng, có cảm giác ngứa da tình trạng này do tăng lượng bilirubin trong máu.Đi phân bạc màu, nước tiểu sẫm màu.Chảy máu bất thường như chảy máu lợi ở răng, xuất huyết dưới da…Sụt cân đột ngột, không rõ nguyên nhân.Phù hoặc trướng bụng do cổ chướng.
Bệnh ung thư gan thường có các biểu hiện rõ xuất hiện ở giai đoạn muộn, nên những bệnh nhân có tình trạng bệnh lý ở gan trước đó nên đi khám sức khỏe định kỳ để phát hiện bệnh sớm.

Vàng da là triệu chứng thường gặp của ung thư gan
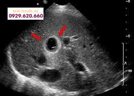
4. Hình ảnh siêu âm ung thư gan
Siêu âm là một phương pháp chẩn đoán hình ảnh không xâm lấn, qua siêu âm bác sĩ dựa vào một số đặc điểm của tổn thương để hướng tới chẩn đoán sớm bệnh lý ung thư gan và tổn thương xơ gan, tình trạng tăng áp lực tĩnh mạch cửa.
Những hình ảnh tổn thương ung thư gan trên siêu âm gồm:
4.1. Ung thư gan nguyên phát
Ung thư gan nguyên phát là một thương tổn có hình dạng đa dạng, cụ thể:
Với ung thư nguyên phát nhỏ dưới 3cm thường có dạng nốt, bờ giới hạn không rõ ràng, nốt này có thể tăng âm hoặc giảm âm so với nhu mô gan, nhưng chủ yếu là các nốt giảm âm. Doppler mạch có tăng sinh mạch máu trong khối u, với hình ảnh tưới máu điển hình là hình ảnh mạng lưới dòng chảy nhỏ từ quanh khối đi vào các phân nhánh trong khối.Với những khối u trên 3cm: Có thể gặp dạng nốt với những nốt có ranh giới rõ ràng, cấu trúc âm không đều và có viền giảm âm xung quanh; Dạng thâm nhiễm điển hình bởi khối có ranh giới khối u không rõ, xâm lấn các khu vực xung quanh, xâm lấn tĩnh mạch cửa và đè đẩy tổ chức xung quanh; Một dạng lan tỏa, thấy các nốt rải rác trong gan, kích thước nhỏ, dạng này hiếm gặp.Ung thư biểu mô đường mật: Ít gặp, tổn thương trên siêu âm thấy khối u có kích thước thường lớn, giới hạn rõ, cấu trúc âm đa dạng, trung tâm có nốt vôi hóa.

Hình ảnh siêu âm ung thư gan
4.2. Ung thư thứ phát
Gan là cơ quan hay gặp nhất của u di căn. Khối u di căn có kích thước và hình dạng không cố định.
Thường thấy có nhiều khối u các kích thước rải rác trên gan, có thể tăng âm hoặc giảm âm nhưng thường gặp là giảm âm so với nhu mô gan, khối u khoảng 40% thấy có viền giảm âm xung quanh, doppler mạch thấy u di căn không có hoặc ít có tín hiệu mạch máu tăng sinh. Nói chung tổn thương di căn thường thấy những tổn thương đa ổ, đặc biệt nếu trên nền bệnh nhân đã có chẩn đoán ung thư thì nghĩ nhiều tới ung thư di căn gan.Dấu hiệu huyết khối tĩnh mạch cửa có thể phát hiện sớm nhờ siêu âm gan, huyết khối tĩnh mạch của do khối u xâm lấn.Một số trường hợp có thể thấy dấu hiệu của xơ gan như: Nhu mô gan thô, không đều, bờ gan không đều, kích thước gan thay đổi, tăng áp lực tĩnh mạch cửa…
Ngoài ra, người ta có thể sử dụng phương pháp siêu âm đàn hồi mô, đây là phương pháp mới được sử dụng những năm gần đây để chẩn đoán tình trạng xơ gan và bệnh lý khối u tại gan chính xác tới 90% so với sinh thiết, giúp giảm thiểu tối đa tình trạng phải sinh thiết gan. Phương pháp này dựa trên mức độ đàn hồi của mô dưới tác động đè nén để xác định tình trạng bệnh lý. Từ siêu âm đàn hồi gan xác định độ cứng của mô từ đó thông qua việc quy đổi để đánh giá, quy về 4 mức độ gồm score 4 là u ác tính; score 2,3 nghi ngờ, cần xét thêm các yếu tố khác; score 1 là một dạng tổn thương lành tính.
Ung thư gan là một bệnh lý nguy hiểm, việc phát hiện sớm tình trạng bệnh là rất cần thiết để giúp điều trị, tiên lượng, giúp tăng tỷ lệ chữa khỏi và gia tăng tuổi thọ cho bệnh nhân. Siêu âm là phương pháp đơn giản, dễ thực hiện, không xâm lấn và có tỷ lệ chính xác cao giúp định hướng chẩn đoán ung thư gan. Nếu có bất kỳ dấu hiệu nghi ngờ bệnh, người bệnh nên khám để được phát hiện sớm bệnh.

Bạn có thể đến Bệnh viện Đa khoa Quốc tế để được tầm soát ung thư gan
Để biết thêm các thông tin chi tiết, vui lòng liên hệ với Nhà thuốc AZ theo số hotline 0929 620 660 hoặc truy cập vào website: https://nhathuocaz.com.vn