Hội chứng Boerhaave là do vỡ thực quản do nôn ói quá mạnh. Rối loạn có thể xuất hiện với các triệu chứng mơ hồ hoặc người ta có thể ghi nhận bộ ba Mackler cổ điển là nôn mửa, đau ngực và khí phế thũng (tràn khí) dưới da. Hội chứng Boerhaave là một trong những chứng rối loạn đường tiêu hóa gây tử vong cao nhất, với tỷ lệ tử vong lên đến 40%.
1. Khai thác bệnh sử và khám lâm sàng
Các triệu chứng Hội chứng Boerhaave bao gồm nôn mửa, đau ngực dưới và khí phế thũng dưới da. Các bác sĩ lâm sàng nên nghi ngờ hội chứng Boerhaave khi bệnh nhân có biểu hiện đau ngực có hoặc không kèm theo khí thũng dưới da khi uống nhiều rượu và nôn mửa nhiều. Có đến một phần ba bệnh nhân không có các triệu chứng này. Biểu hiện lâm sàng thực sự của hội chứng Boerhaave sẽ phụ thuộc vào mức độ thủng, mức độ rò rỉ và thời gian kể từ khi bắt đầu tổn thương.
Thông thường, người bệnh sẽ có biểu hiện đau tại vị trí thủng, thường là ở cổ, ngực, vùng thượng vị hoặc vùng bụng trên. Thủng ở cổ có thể kèm theo đau cổ, khó nuốt hoặc khó nuốt; thủng trong lồng ngực kèm theo đau ngực; và thủng trong ổ bụng kèm theo đau vùng thượng vị lan ra vai hoặc lưng. Tiền sử tăng áp lực trong thực quản vì bất kỳ lý do gì kèm theo đau ngực nên cần xem xét ngay tình trạng này. Các phát hiện khám sức khỏe có thể bao gồm bất thường về thủy tinh thể (nhịp tim nhanh, thở nhanh, sốt), giảm tiếng thở ở bên đục, khí phế thũng trung thất và dấu hiệu Hamman (trung thất “ran nổ” kèm theo mỗi nhịp tim) ở vị trí lõm bên trái.
2. Cận lâm sàng
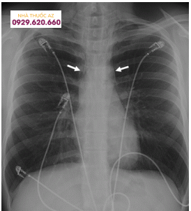
Thật không may, các xét nghiệm trong phòng thí nghiệm có giá trị rất ít trong việc chẩn đoán; tuy nhiên, chúng có thể loại trừ các tình trạng phổ biến hơn trong sự khác biệt bao gồm nhồi máu cơ tim và viêm tụy. Hình ảnh có tầm quan trọng cao trong chẩn đoán Hội chứng Boerhaave. Trong khi chụp X-quang phổi có sẵn, nó là bình thường đối với khoảng 15% trường hợp và không thể được sử dụng để loại trừ chẩn đoán. Các phát hiện X-quang ngực có thể xảy ra bao gồm khí thũng dưới da hoặc trung thất, giãn rộng trung thất, tràn dịch màng phổi, và trong 20% trường hợp, “dấu hiệu V” (vệt không khí chia cắt các mặt phẳng tim sau tim).

Hình 1: Hình ảnh X quang thể hiện tràn khí trung thất do hội chứng Boerhaave
Công cụ chẩn đoán được lựa chọn là chụp thực quản cản quang sử dụng chất cản quang tan trong nước như Gastgrafin. Một nghiên cứu như vậy sẽ cho thấy sự thoát mạch của chất cản quang tại vị trí thủng. Mặc dù Baryt vượt trội hơn trong việc chứng minh các lỗ thủng nhỏ, việc sử dụng nó không được khuyến khích vì sự thoát mạch của vật liệu này có thể dẫn đến viêm trung thất với xơ hóa sau đó. Chụp CT đang được nhiều người sử dụng thay cho chụp thực quản cản quang do độ nhạy cao hơn và đánh giá chi tiết hơn các cơ quan liên quan. Nội soi nên được sử dụng thận trọng do nguy cơ thủng thực quản thêm. Nếu có dẫn lưu màng phổi, người ta cũng có thể sử dụng thử nghiệm nhuộm xanh metylen. Khi uống xanh methylen, nó sẽ làm dịch dẫn lưu từ ống dẫn lưu ngực đổi màu hơi xanh trong vòng 12 – 24 giờ.
Điều trị thường được điều chỉnh tùy theo biểu hiện của bệnh nhân, loại và mức độ vỡ, thời gian chẩn đoán và khả năng tồn tại của thành thực quản. Các lỗ thủng sớm, được chẩn đoán trong vòng 12-24 giờ, có kết quả tốt nhất. Ba lựa chọn điều trị phổ biến bao gồm bảo tồn, nội soi hoặc phẫu thuật. Phương pháp điều trị chính bao gồm thay thế thể tích dịch đã mất, bao phủ kháng sinh phổ rộng và đánh giá phẫu thuật. Can thiệp phẫu thuật bao gồm sửa chữa lổ thủng thực quản thông qua phẫu thuật mở lồng ngực hoặc nội soi lồng ngực chẩn đoán. Nội soi đặt stent đã được sử dụng để ngăn ngừa hình thành lỗ rò hoặc bịt kín lỗ rò thực quản ở cả những bệnh nhân có chẩn đoán muộn và những bệnh nhân được chẩn đoán sớm mà không bị nhiễm khuẩn lan rộng. Điều trị bảo tồn thường được dành cho các lổ thủng nhỏ. Tranh cãi xảy ra khi một vết thủng muộn, những người được chẩn đoán sau 24 giờ, được chẩn đoán, vì các mép vết thương thường phù nề, cứng hoặc bở khiến việc sửa chữa gặp nhiều rủi ro. Cân nhắc điều này, nhiều bác sĩ điều trị các lỗ thủng muộn thông qua việc phá vỡ khoang màng phổi và trung thất, mở thực quản và mở dạ dày nuôi ăn. Tái tạo lại thực quản thường được thực hiện sau 6 tuần. Cần bổ sung dinh dưỡng nếu tình trạng nhịn ăn uống kéo dài.
3. Chẩn đoán phân biệt
Phình bóc tách động mạch chủ
Viêm tụy cấp
Nhồi máu cơ tim
Tràn khí màng phổi
4. Tiên lượng
Tiên lượng phụ thuộc vào thời điểm chẩn đoán. Việc chẩn đoán và điều trị chậm trễ thường dẫn đến kết quả kém. Những người được chẩn đoán và phẫu thuật trong vòng 24 giờ đều có tiên lượng tốt với tỷ lệ sống là 75%.

Bệnh nhân được phẫu thuật trong 24h đầu thường có tiên lượng tốt hơn
5. Các biến chứng
Viêm trung thất
Tràn dịch màng phổi ồ ạt
Pneumomediastinum
EmpyemaKhí thũng dưới da
Hội chứng suy hô hấp cấp tiến triển
Tử vong
Các vấn đề cần chú ý:
Việc chẩn đoán hội chứng Boerhaave đòi hỏi mức độ nghi ngờ cao.
Sự chậm trễ trong chẩn đoán có thể gây tử vong trong vài ngày.
Nên hoàn thành việc chụp ảnh với chất cản quang tan trong nước để tránh nhiễm bẩn trung thất với chất cản quang bari.
Nếu lỗ thủng nhỏ, có thể áp dụng phương pháp theo dõi và chờ đợi nhưng nên phẫu thuật sớm.
Nội soi lồng ngực chẩn đoán là tiêu chuẩn vàng của điều trị.
6. Kết luận
Việc quản lý hội chứng Boerhaave là sự phối hợp giữa các chuyên khoa. Bệnh nhân cần được cấp nước ngay lập tức, dùng kháng sinh và tư vấn phẫu thuật. Điều trị thường được điều chỉnh tùy theo biểu hiện của bệnh nhân, loại và mức độ vỡ, thời gian chẩn đoán và khả năng tồn tại của thành thực quản. Các lỗ thủng sớm, được chẩn đoán trong vòng 12-24 giờ, có kết quả tốt nhất. Ba lựa chọn điều trị phổ biến bao gồm bảo tồn, nội soi hoặc phẫu thuật. Phương pháp điều trị chính bao gồm thay thế thể tích, bao phủ kháng sinh phổ rộng và đánh giá phẫu thuật. Can thiệp phẫu thuật bao gồm sửa chữa thực quản chính thông qua phẫu thuật mở lồng ngực hoặc nội soi lồng ngực chẩn đoán và can thiệp, đây là tiêu chuẩn vàng trong vòng 24 giờ đầu tiên. Nội soi đặt stent đã được sử dụng để ngăn ngừa hình thành lỗ rò hoặc bịt kín lỗ rò thực quản ở cả những bệnh nhân có chẩn đoán muộn và những bệnh nhân được chẩn đoán sớm mà không bị nhiễm khuẩn lan rộng.
Điều trị bảo tồn thường được dành cho các lỗ thủng nhỏ. Những bệnh nhân được chẩn đoán muộn thường bị suy đa tạng và tử vong. Những bệnh nhân được điều trị sớm thường có tiên lượng tốt nhưng việc hồi phục có thể mất vài tháng.
Để biết thêm các thông tin chi tiết, vui lòng liên hệ với Nhà thuốc AZ theo số hotline 0929 620 660 hoặc truy cập vào website: https://nhathuocaz.com.vn