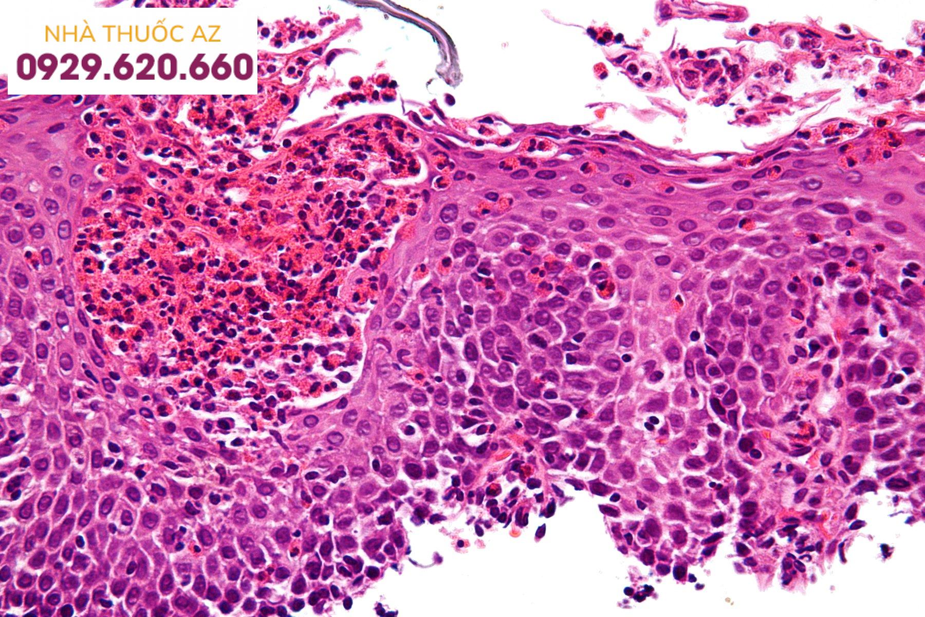
Bạch cầu ái toan Eosinophils là một trong những thành phần của bạch cầu được sản sinh từ tủy xương và là một trong những tế bào có vai trò thúc đẩy tiến trình viêm, đặc biệt các phản ứng viêm dị ứng. Theo đó, điều trị thử nghiệm PPI sau nội soi chẩn đoán là bắt buộc trước khi chẩn đoán EoE, đây là điều kiện lý tưởng để có thể phân biệt EoE với PPI – REE ở mức cơ bản trước khi thử nghiệm PPI này.
Các thuật ngữ viết tắt:
EoE: Eosinophilic esophagitis: Viêm thực quản tăng esinophil
GERD: Gastroesophageal reflux disease: Bệnh lý viêm thực quản trào ngược
IL: Interleukin: yếu tố Interleukin
PPI: Proton pump inhibitor: Thuốc ức chế bơm Proton
PPI-REE: Proton pump inhibitor-responsive esophagal: bệnh lý viêm thực quản đáp ứng thuốc ức chế bơm Proton
Eosinophilia: bạch cầu ái toan
VTQBCAT: viêm thực quản bạch cầu ái toan
Bạch cầu ái toan Eosinophils là một trong những thành phần của bạch cầu được sản sinh từ tủy xương và là một trong những tế bào có vai trò thúc đẩy tiến trình viêm, đặc biệt các phản ứng viêm dị ứng. Do vậy, một số lượng lớn eosin có thể tích tụ trong các mô như là thực quản, dạ dày, ruột non và đôi khi trong máu khi những cá nhân đó phơi nhiễm với yếu tố dị nguyên.
Khuyến cáo của Hội Tiêu hóa Mỹ năm 2013 đã nhấn mạnh nếu tăng BCAT tìm thấy ở thực quản cần đặt ra 3 khả năng: VTQTCAT, GERD và tăng bạch cầu ái toan thực quản đáp ứng với PPI (PPLREE).

Bạch cầu ái toan Eosinophils là một trong những thành phần của bạch cầu được sản sinh từ tủy xương và là một trong những tế bào có vai trò thúc đẩy tiến trình viêm
1. Thử thách của giai đoạn phân biệt giữa EoE và PPI-REE
Bởi vì điều trị thử nghiệm PPI sau nội soi chẩn đoán là bắt buộc trước khi chẩn đoán EoE, sẽ là lý tưởng để có thể phân biệt EoE với PPI – REE ở mức cơ bản trước khi thử nghiệm PPI này. Theo đó, có đã có một số nỗ lực nhằm phân biệt EoE từ PPI-REE.
1.1. Các đặc điểm lâm sàng, nội soi và mô học
Tại thời điểm hiện tại, ba nghiên cứu đã không tìm ra sự phân biệt cơ bản về lâm sàng, nội soi và mô học các đặc điểm giữa những bệnh nhân cuối cùng được phát hiện có EoE hoặc PPI-REE sau một thử nghiệm PPI.
1.2. Theo dõi pH thực quản
Trong hướng dẫn EoE năm 2007, kết quả theo dõi pH thực quản được công nhận như một công cụ chẩn đoán chính để phân biệt EoE từ PPI-REE. Tuy nhiên, các tác giả hiện biết rằng, đáp ứng với liệu pháp PPI không được dự đoán chính xác bởi có hoặc không có tiếp xúc với axit thực quản bệnh lý. Điều quan trọng cần nhấn mạnh là khả năng đáp ứng PPI cao hơn đáng kể ở những bệnh nhân bị GERD được ghi nhận khi so sánh với những người không có GERD trên nội soi / pH giám sát (70% so với 29%, p <0,001) như thể hiện trong phần đầu tiên đánh giá hệ thống về PPI-REE. Kết quả của chính các nghiên cứu giải quyết vấn đề này được báo cáo, phản ánh rõ ràng rằng đáp ứng với liệu pháp PPI có thể xảy ra với theo dõi pH thực quản bình thường hoặc bệnh lý.
1.3. Dấu hiệu mô và các cytokine liên quan tăng bạch cầu ái toan thực quản
Gần đây hơn, biểu hiện hóa mô miễn dịch của dấu hiệu của sự thâm nhập bạch cầu ái toan và các tế bào viêm liên quan (protein cơ bản chính, eotaxin-3 và tryptase) và biểu hiện gen của chemokine Th2 (eotaxin-3) và các cytokine (interleukin (IL) (IL-5) và IL-13) cũng không phân biệt được giữa PPI-REE và EoE.
1.4. Biểu hiện gen
Xác định các gen ứng viên là một bước quan trọng để hiểu cơ chế bệnh sinh phân tử của EoE. Bảng gen chẩn đoán EoE đã cho thấy độ nhạy 96% và độ đặc hiệu 98% để phân biệt bệnh nhân với EoE thuyên giảm khỏi các kiểm soát, cũng như xác định bệnh nhân tiếp xúc với glucocorticoid và có khả năng tái phát sau khi điều trị. Một nghiên cứu gần đây là nghiên cứu đầu tiên đánh giá sự khác biệt về kiểu hình gen giữa 28 bệnh nhân được chẩn đoán là EoE và 36 bệnh nhân PPI-REE từ 5 trung tâm Hoa Kỳ. Kết quả cho thấy dấu hiệu phân tử và tế bào mastocytosis của PPI-REE không được điều trị gần như có thể đảo ngược bằng cách sử dụng PPI đơn trị liệu, phù hợp với một nghiên cứu gần đây khác chứng minh rằng liệu pháp PPI trong PPI – REE đã điều chỉnh giảm gen cytokine eotaxin-3 và Th2 biểu hiện trong mô thực quản, tương tự như biểu hiện ở EoE đáp ứng với steroid.
2. Những tiến bộ trong sinh bệnh học của bệnh lý PPI-REE
Giả thuyết phổ biến để giải thích PPI-REE là GERD cùng tồn tại có thể là sự kiện mồi, cho phép sự xâm nhập tiềm ẩn của các phân tử gây dị ứng có nguồn gốc từ thực phẩm thông qua tổn thương hàng rào biểu mô do axit gây ra. Do đó, tổn thương biểu mô do GERD gây ra có thể làm lộ các lớp sâu hơn của biểu mô vảy thực quản đối với các kháng nguyên mà thông thường không thể xâm nhập vào niêm mạc bình thường. Điều này lần lượt có thể dẫn đến việc nhận biết kháng nguyên một cách dễ dàng bằng cách trình bày kháng nguyên tế bào. Tuy nhiên, bằng chứng mới chứng minh rằng EoE và các nhóm PPI-REE thậm chí có thể liên quan chặt chẽ hơn như PPI liệu pháp không chỉ phục hồi tính toàn vẹn của biểu mô thực quản, mà còn có thể làm giảm con đường viêm bằng cách điều tiết giảm biểu hiện gen của chemokine Th2 và cytokine.

Giả thuyết phổ biến để giải thích PPI-REE là GERD cùng tồn tại có thể là sự kiện mồi
3. PPI phục hồi một phần chức năng hàng rào biểu mô của niêm mạc thực quản
Mặc dù sự phục hồi của hàng rào biểu mô thực quản là giả thuyết được chấp nhận nhiều nhất đối với giải thích sự tồn tại của PPI-REE, nghiên cứu đầu tiên giải quyết vấn đề này một cách khách quan ở EoE vừa được công bố gần đây. Mười sáu bệnh nhân có bạch cầu ái toan thực quản> 15 bạch cầu ái toan/ quang trường được so sánh với mười một bệnh nhân đối chứng lúc ban đầu. Tính toàn vẹn của niêm mạc thực quản được đo ở thực quản xa, phương pháp đánh giá là dùng đầu dò phổ có kháng trở mô trong quá trình nội soi và xem xét mô bệnh học: 2 mẫu sinh thiết được lấy qua nội soi để phân tích bằng kính hiển vi điện tử về tiêu chuẩn tăng khoảng cách khoảng gian bào và 4 mẫu sinh thiết để đo điện trở xuyên biểu mô và thông lượng xuyên niêm mạc của các phân tử được đánh dấu huỳnh quang có kích thước 0,3 và 40 kDa (tương tự như kích thước của chất gây dị ứng thực phẩm).
Ở bệnh nhân tăng bạch cầu ái toan thực quản, tất cả các phép đo về tính toàn vẹn của niêm mạc đều bị suy giảm đáng kể khi so sánh với các đối chứng. Bệnh nhân thực quản tăng bạch cầu ái toan sau đó được cho dùng omeprazole 40 mg hai lần hàng ngày và được đánh giá lại 8 tuần sau đó. Sau liệu pháp ức chế axit, tính toàn vẹn của niêm mạc đã được khôi phục một phần ở PPI-REE, nhưng không xảy ra ở bệnh nhân EoE. Các tác giả kết luận rằng sự suy giảm tính toàn vẹn của niêm mạc trong PPI-REE có thể là do GERD, trong khi nó có thể liên quan đến tuyển dụng tế bào viêm trong EoE. Do đó, điều này nghiên cứu cho thấy rằng sự tiếp xúc của biểu mô thực quản có axit trào ngược ở bệnh nhân PPI-REE, do biểu mô suy giảm hàng rào, có thể là “tác động” đầu tiên trong sự phát triển của bạch cầu ái toan thực quản.
Để biết thêm các thông tin chi tiết, vui lòng liên hệ với Nhà thuốc AZ theo số hotline 0929 620 660 hoặc truy cập vào website: https://nhathuocaz.com.vn
