Cùng với sự phát triển của nội soi tiêu hóa, một số nghiên cứu gần đây cho thấy xơ gan có liên quan đến sự hình thành và tiến triển của bệnh dạ dày tăng áp cửa. Ngoài hình ảnh chủ yếu của bệnh dạ dày tăng áp cửa thường thấy trên nội soi là niêm mạc dạng khảm, tổn thương dạng vết trợt cũng được phát hiện ở dạ dày bệnh nhân xơ gan và được một số tác giả xếp loại như là một dạng của bệnh dạ dày tăng áp cửa.
1. Định nghĩa và phân loại bệnh dạ dày tăng áp cửa
Cùng với sự phát triển của nội soi tiêu hoá, các tổn thương dạ dày ở bệnh nhân xơ gan đã được ghi nhận. Đầu tiên McCormack T.T. đưa ra khái niệm viêm dạ dày phù nề trong nội soi dạ dày của bệnh nhân xơ gan. Tuy nhiên, trong quá trình tìm hiểu, McCormack T.T. nhận thấy có rất ít tế bào viêm trong hình ảnh giải phẫu bệnh niêm mạc dạ dày. Ông đề nghị đổi tên là bệnh dạ dày phù nề.
Cho đến nay, vẫn còn khá nhiều định nghĩa về bệnh dạ dày tăng áp cửa (BDDTAC). Tương tự, phân loại bệnh dạ dày tăng áp cửa vẫn chưa thống nhất, tập trung vào 2 nhóm:
Nhóm chia làm hai loại: Nhẹ, nặng theo cách phân loại của McCormackT.T., Baveno III.Nhóm 3 loại: Nhẹ, vừa, nặng theo cách phân loại của Tanoue K. vàNIEC.
Cả hai nhóm phương pháp phân loại này mặc dầu không có độ chính xác và thực tiễn tối ưu nhưng cách phân chia làm hai loại vẫn có nhiều ưu điểm hơn do có được sự đồng thuận giữa các nhà nội soi nhiều hơn. Trong nhóm chia BDDTAC làm 2 loại, phân loại Baveno III được chấp nhận và sử dụng rộng rãi hơn cả.

Hình ảnh bệnh nhân bị bệnh lý dạ dày tăng áp cửa
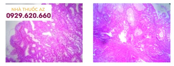
2. Giải phẫu bệnh học của bệnh dạ dày tăng áp cửa
Theo nghiên cứu của Barakat M. với kết quả nghiên cứu hình ảnh giải phẫu bệnh học của trên 133 mẫu sinh thiết dạ dày bệnh nhân có hình ảnh BDDTAC, tác giả nhận thấy hình ảnh phù nề của niêm mạc dạ dày là hay gặp nhất (116 mẫu, chiếm 87,2%), không có sự khác biệt có ý nghĩa thống kê giữa BDDTAC nặng và nhẹ.Cũng theo Barakat M., giãn các vi mạch niêm mạc dạ dày cũng thường gặp thứ hai với tỉ lệ xuất hiện nhiều hơn có ý nghĩa (p < 0,01) ở nhóm bệnh nhân có BDDTAC nặng so với nhẹ. Theo Lash R.H., sự giãn các vi mạch dạ dày thường nằm ở lớp hạ niêm mạc nhưng cũng có thể xuất hiện ở lớp niêm mạc.
Hình ảnh này thường xuất hiện nhiều ở vùng thân vị hơn so với hang vị. Một hình ảnh có thể gặp trong BDDTAC là xuất hiện mạch máu tân tạo dưới tác động của tình trạng tăng áp cửa lên yếu tố tăng trưởng nội mạc mạch máu VEGF. Hình ảnh ít gặp hơn là thoái hóa fibrin làm tăng tạo xơ.
Mặt khác, trong một nghiên cứu của Misra V. và CS về việc đo lường đường kính lòng mạch và độ dày của thành mao mạch niêm mạc ở vùng hang và phình vị trên bệnh nhân xơ gan, tác giả nhận thấy độ dày thành mao mạch ở vùng thân và phình vị tăng có ý nghĩa so với người bình thường trong khi đường kính lòng mạch chỉ tăng có ý nghĩa ở vùng hang vị. Nghiên cứu này cũng cho thấy độ dày thành mao mạch có giá trị hơn việc đo lường đường kính lòng mạch trong chẩn đoán tình trạng tăng áp cửa.
Ngoài ra, Toyonaga A. nhận thấy có nhiều shunt nối mao tĩnh mạch và động mạch ở lớp hạ niêm mạc dạ dày qua phương pháp chụp vi mạch. Ngoài hình ảnh mạch máu giãn, ứ trệ, các ống tuyến thường tăng sản, ngoằn ngoèo. Mô liên kết giữa các ống tuyến có những vùng xuất huyết nhỏ, mô sợi, rải rác các tế bào trung tính, nhưng thường gặp hơn là sự xuất hiện các tế bào lympho và đại thực bào.Không có hoặc có rất ít hình ảnh tế bào viêm trong BDDTAC. Trong nghiên cứu của Barakat M., chỉ có 3/133 (2,3%) mẫu sinh thiết có sự xuất hiện dày đặc tế bào viêm.

Hình ảnh thân vị phù nề, mạch máu thân vị dãn, đặc trưng của bệnh lý dạ dày tăng áp cửa
3. Cách hình ảnh này có đặc hiệu cho bệnh lý viêm dạ dày tăng áp cửa?
Hình ảnh giải phẫu bệnh của BDDTAC không phải là đặc hiệu để chẩn đoán BDDTAC do các đặc điểm này có thể xuất hiện trong các tình trạng bệnh lý dạ dày khác đặc biệt là viêm dạ dày mạn do H.P và bệnh lý dạ dày phản ứng do thuốc, acid hay dịch mật. Do đó, hình ảnh giải phẫu bệnh chỉ là yếu tố góp phần bên cạnh các yếu tố chính là lâm sàng và nội soi để chẩn đoán BDDTAC.

Hình ảnh mạch máu tăng sinh và viêm xơ hang vị ở bệnh dạ
4. Phân bố và độ nặng bệnh dạ dày tăng áp cửa trên nội soi
Một số nghiên cứu cho thấy cho thấy hình ảnh BDDTAC xuất hiện chủ yếu ở thân vị (89,2%) và phình vị (90,2%) so với hang vị (4,9%). Theo nghiên cứu của Iwao T. cũng cho thấy tần suất xuất hiện BDDTAC ở thân và phình vị cao hơn hang vị (p < 0,01).
Điều này có thể là do cấu trúc hệ thống mạch của thân và phình vị có nhiều điểm chung: Tĩnh mạch vị trái có kích thước khá lớn phụ trách dẫn máu từ tĩnh mạch thực quản, vùng thân phình vị đổ trực tiếp vào tĩnh mạch cửa. Tĩnh mạch vị trái cùng với tĩnh mạch vị ngắn và tĩnh mạch vị mạc nối trái tạo nên một hệ thống mạch máu phủ khắp thân và phình vị.
Một đặc điểm đặc biệt của mạch máu vùng hệ thống tĩnh mạch cửa là không có van nên khi có tăng áp lực tĩnh mạch cửa, áp lực sẽ tác động trực tiếp đến các mạch máu trực thuộc, gây nên tình trạng tăng áp lực trong hệ thống mạch máu đó và làm giãn mạch, góp phần hình thành nên BDDTAC.
Ngược lại, vùng hang môn vị chủ yếu do tĩnh mạch vị phải phụ trách. Đây là một mạch máu nhỏ chạy ngoằn ngoèo trước khi đổ vào tĩnh mạch cửa, do đó tình trạng tăng áp cửa sẽ không tác động nhiều lên vùng hang môn vị và ít gây tình trạng giãn mạch, ít tạo nên hình ảnh BDDTAC.
Để biết thêm các thông tin chi tiết, vui lòng liên hệ với Nhà thuốc AZ theo số hotline 0929 620 660 hoặc truy cập vào website: https://nhathuocaz.com.vn